Σύνδρομο μετά από περικαρδιοτομή ή και σύνδρομο Dressler: τι πρέπει να γνωρίζουμε
Γράφει ο Χριστόφορος Σ. Κωτούλας, Καρδιοθωρακοχειρουργός
Το σύνδρομο μετά από περικαρδιοτομή, ή και σύνδρομο Dressler, είναι μια εμπύρετη νόσος δευτερεύουσα σε μια φλεγμονώδη αντίδραση που προσβάλλει τους υμένες που περιβάλλουν την καρδιά και τα πνευμόνια, δηλαδή το περικάρδιο και τον υπεζωκότα. Συμβαίνει κυρίως στους ανθρώπους που υποβάλλονται σε επεμβάσεις καρδιάς και στους οποίους διανοίγεται το περικάρδιο. Άλλες αιτίες είναι το οξύ έμφραγμα του μυοκαρδίου, η τοποθέτηση στεντ στα στεφανιαία αγγεία, η τοποθέτηση μόνιμου βηματοδότη και το τραύμα της καρδιάς. Η περικαρδιακή συλλογή που προκαλείται μπορεί να προκαλέσει και καρδιακό επιπωματισμό που αποτελεί επείγουσα κατάσταση. Το σύνδρομο έχει περιγραφεί σε ποσοστά από 2 μέχρι 30% μετεγχειρητικά. Συμβαίνει 1-6 εβδομάδες μετά το χειρουργείο. Ο ασθενής, αν και παρουσιάζει πυρετό που κυμαίνεται από 38-39 °C, έχει καλή γενική κατάσταση. Τα περιγραφόμενα συμπτώματα είναι ο πλευριτικός πόνος, η δύσπνοια, η αρθραλγία και η κακουχία.
Οι ασθενείς παρουσιάζουν ταχυκαρδία, ήχο τριβής και παθολογικό ΗΚΓ. Η γενική εξέταση αίματος χαρακτηρίζεται από λευκοκυττάρωση, αύξηση του δείκτη λοιμώξεως και του ΤΚΕ. Ο τίτλος των αντισωμάτων antiheart είναι αυξημένος. Τα καρδιακά ένζυμα δεν αποτελούν δείκτη ελέγχου αφού η τιμή τους ποικίλλει. Η απλή ακτινογραφία θώρακος είναι ενδεικτική αφού χαρακτηρίζεται από αύξηση της καρδιακής σκιάς και παρουσία υγρού στους πνεύμονες.
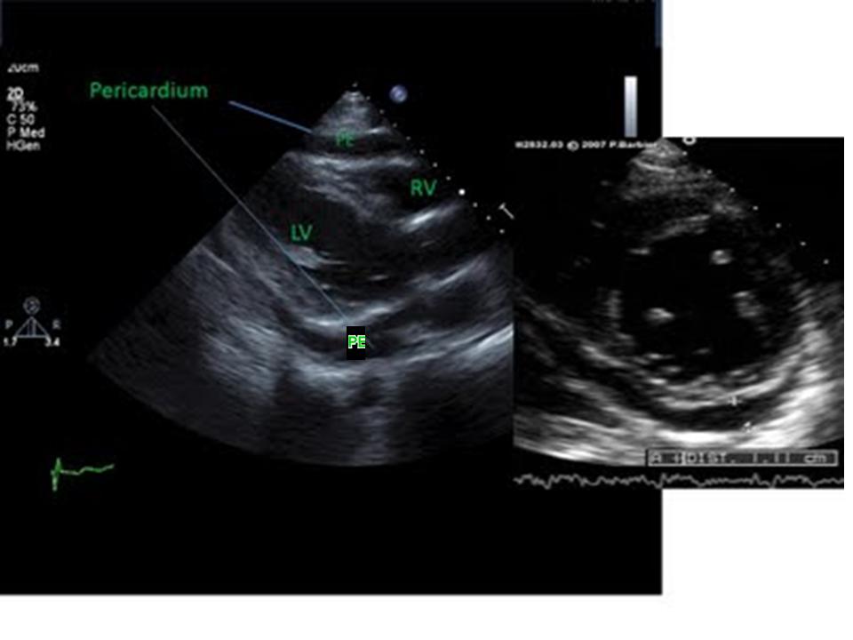
Το υπερηχογράφημα καρδιάς είναι η απόλυτη διαγνωστική εξέταση αφού αναδεικνύει την ύπαρξη υγρού στο περικάρδιο, αλλά και την λειτουργικότητα της καρδιάς. Η μαγνητική τομογραφία καρδιάς τέλος δίνει απαντήσεις για τις εντοπισμένες συλλογές στο περικάρδιο και την επίπτωσή τους στην καρδιακή λειτουργία.
Οι ασθενείς που πάσχουν από το σύνδρομο θα πρέπει να ελαττώσουν την δραστηριότητά τους. Στις ήπιες περιπτώσεις, η αγωγή στηρίζεται στην ανάπαυση, στη χορήγηση από του στόματος θεραπεία και στην συχνή υπερηχογραφική παρακολούθηση. Η φαρμακευτική αγωγή από το στόμα συνίσταται σε χορήγηση μη στεροειδών αντιφλεγμονώδων σκευασμάτων -NSAIDs (ασπιρίνη και ινδομεθακίνη), την κολχικίνη, τα κορτικοστεροειδή και χαμηλές δόσεις ανοσοκατασταλτικών σκευασμάτων (μεθοτρεξάτη), καθώς και συνδυασμούς αυτών.
Στο 1% των περιπτώσεων του συνδρόμου προκαλείται καρδιακό επιπωματισμός, καταστάση που απειλεί τη ζωή του ασθενή και χρειάζεται άμεση αντιμετώπιση. Ο ασθενής στις περιπτώσεις αυτές θα πρέπει να νοσηλεύεται. Η αντιμετώπισή του μίνεται είτε με διαδερμική παροχέτευση του υγρού με την τεχνική seldinger και υπερηχογραφική καθοδήγηση, είτε με χειρουργική μέθοδο, με υποξιφοειδική τομή ή θωρακοσκοπικά. τέλος, σε εξαιρετικά ανθεκτικές και επίμονες περιπτώσεις θα πρέπει να εξετάζεται και το ενδεχόμενο περικαρδιεκτομής. Η παροχέτευση του υγρού θα πρέπει να συνοδεύεται στη συνέχεια και με φαρμακευτική αγωγή.
Οι περισσότερες των περιπτώσεων θεραπεύονται σε λίγες εβδομάδες, αν και οι ασθενείς μπορεί να παραπονούνται για συμπτώματα για διάστημα περισσότερο των 6 μηνών.
Έχουν παρατηρηθεί περιπτώσεις υποτροπής στο 10-15%, που συμβαίνουν μετά τη διακοπή της φαρμακευτικής αγωγής, ενώ ο κίνδυνος υποτροπής εξαλείφεται μετά από το διάστημα των 6 μηνών από την εμφάνιση του συνδρόμου.


Πρόσφατα Σχόλια